Neuigkeiten
Freitag, 22. Februar 2013 - 12:33 Uhr
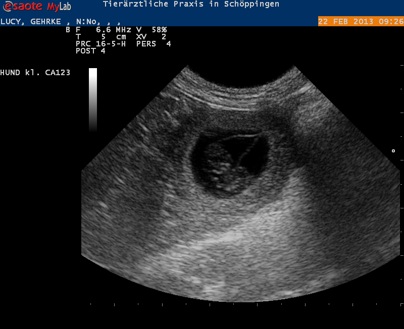
Lucy bekommt Welpen von Max das hat der Ultraschall heute morgen bestätigt

Ich freue mich und bin auch immer noch unendlich traurig, ich war heute morgen mit Lucy zum Ultraschall. Lucy ist trächtig von Max das wird der letzte Wurf von meinem Dreamboy!!! Das wird ein ganz besonderer Wurf
Gloris white and Black X Chelines Max Facttor
We expect Puppy´s That will be the last litter from my Dreamboy Chelines Max Facttor
Samstag, 16. Februar 2013 - 12:29 Uhr
R.I.P Max machs gut mein Lieber Freund, irgendwann werden wir uns wiedersehen

es ist so schrecklich und ich bin immer noch wie gelähmt
mir laufen schon wieder die Tränen. Max Du warst etwas ganz besonderes, eine Seele von Hund ein teil von mir
, der jetzt nicht mehr da ist, einfach so, Warum????
Max verletzte sich am Dienstag beim wilden spielen in meinem Garten, bei einem zusammenstoß mit Bill, die beiden hatten ihre wilden 5 Minuten, was mir immer so viel Freude bereitet hat das zu sehen.
Durch den Zusammenprall verletzte sich Max an der Bruswirbelsäule so schwer, daß er nach ein Paar Stunden hinten gelähmt war, Ich habe Max sofort in die Tierklinik Grußendorf nach Osnabrück gebracht; es wurde alles versucht CT/MRT Angiographie, man konnte Max nicht mehr helfen, nach 2 Tagen hat sich der Zustand in der Tierklinik so verschlechtert , daß Max auch vorne gelähmt war einschließlich Hals. Ich war so entsetzt als ich meinen Seelenhund so sehen musste, da gab es für mich nur noch eine Entscheidung
, Max hat mich erkannt als ich mit Ihm sprach, seine Augen haben mich wach angesehen und er hat mit seinen Spitzöhrchen gewackelt, dann ist er in meinen Armen eingeschlafen.
Warum nur??????????????????
Donnerstag, 7. Februar 2013 - 13:28 Uhr
Unser Q-Wurf ist gestern geboren, Mali ist eine so tolle Mama von 2 Rüden und 3 Hündinnen

hier das erste Foto von den kleinen
, ich bin so glücklich
Mali von Silverstone X Incredible Imp Nuo Bjaurybes
Sonntag, 3. Februar 2013 - 10:40 Uhr
Bald ist es soweit, die Wurfkiste ist aufgebaut wir erwarten unseren Q Wurf

Alles ist aufgebaut und Mali mag die gemütliche Wurfkiste,
nächstes Wochenende ist es soweit bitte Daumen drücken
ich bin sehr gespannt auf diese Interessante Verpaarung
Mittwoch, 16. Januar 2013 - 20:17 Uhr
Tolle Neuigkeiten !!! Mein Max wird Papa
Chelines Max Facttor X Pino-Coke v.d´n Oppasser
Ich wünsche Anja Langer viel Glück für den bevorstehenden Wurf, ich freu mich für Euch
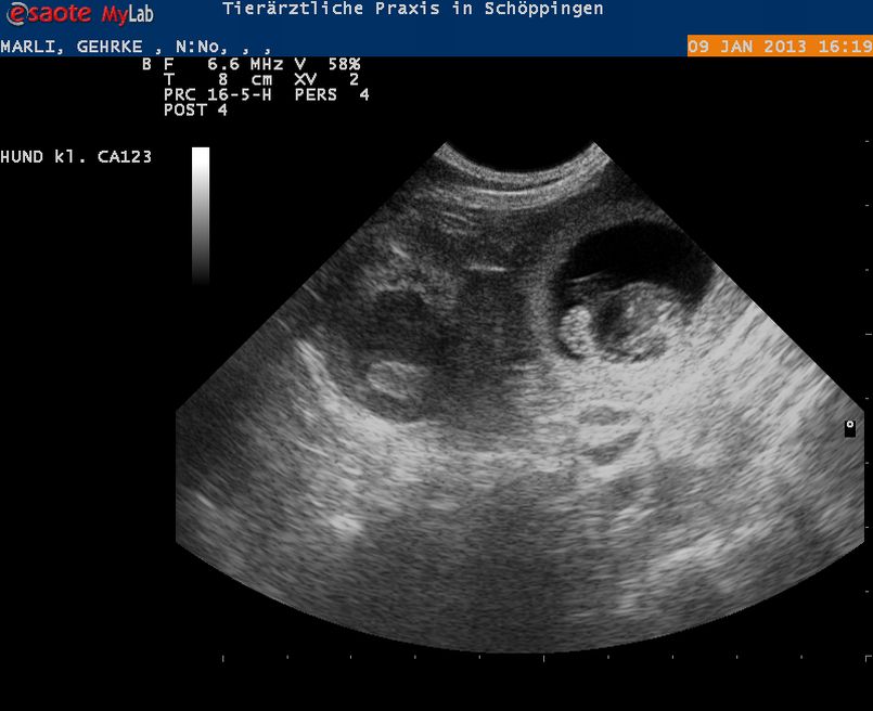
Donnerstag, 10. Januar 2013 - 11:32 Uhr
Wir erwarten Welpen, der Ultraschall hat es betätigt!!!

Mali und Bill erwarten Welpen, ich freu mich
Mali von Silverstone X Incredible Imp Nuo Bjaurybes
Sonntag, 16. Dezember 2012 - 12:38 Uhr
Herzlichen Glückwunsch Emmi zum 13 Geburtstag

Meine Liebe Emmi (Emely von den kleinen Wüstlingen)
Ich wünsche Dir alles alles Gute zu Deinem 13. Geburtstag, Du bist mein Seelenhund die Stammhündin meiner Zucht von Silverstone
Du bist nicht nur Mutter, Oma, Uroma nein auch Ururoma von meinem O Wurf
Ich hoffe wir haben noch eine lange Zeit zusammen
Dienstag, 27. November 2012 - 11:48 Uhr
KSA Schau Hagen 25.11.2012

Es war ein schöner und erfolgreicher Tag für die Silverstone´s
Kenia startete in der Championklasse und bekam das V1 mit allen Anwartschaften, somit ist Kenia Deutscher Champion PSK und VDH die Unterlagen müssen nur noch eingereicht und bestätigt werden
Kafka von Silverstone erhielt in der offenen Klasse gegen Bill, der einen schlechten Tag hatte das V1 mit allen Anwartschaften
herzlichen Glückwunsch an Susanne und Sebastian
Und dann kam der Silverstone Nachwuchs in der Jüngstenklasse
Phiby von Silverstone vv1 und bester Jüngstenhund der Schau!! Super Glückwunsch an Petra Lohrsträter
Okira von Silverstone bekam das vv2
Dienstag, 20. November 2012 - 12:27 Uhr
Meine nächste Wurfplanung steht fest wir warten auf Mali´s Hitze

Ich bin sooooo gespannt auf diese ganz besondere Kombination
frühzeitige Vorbestellungen und ein frühzeitiges Kennenlernen ist gern gesehen
Vielen Dank an Sonja Schwab für diese wunderschöne Collage
Sonntag, 21. Oktober 2012 - 15:12 Uhr
Heute habe ich ein Foto von Obama bekommen 6 1/2Monate alt

vielen Dank an Jörg Krug für Dein tolles Grooming, der kleine gefällt mir richtig gut
Chelines Max Facttor X Jamaica von Silverstone
Bill ist vo 3 wochen Papa geworden von 6 gesunden Welpen im Zwinger Art Löhr´s 1/5
Mali hat die Zuchtzulassung bestanden Danke Stephi
Sonntag, 7. Oktober 2012 - 12:21 Uhr
Urlaubsvideo 2 hier Wattwanderung alle Bilder copyright by Anja Gehrke!!!!

Phiby von Silverstone in aktion
Sonntag, 7. Oktober 2012 - 12:06 Uhr
Urlaubsvideo 1 klick hier viel Spaß!!!

Sonntag, 7. Oktober 2012 - 09:37 Uhr
Wattwanderung in Schillig ein riesen Spaß für unsere Hunde

Freitag, 5. Oktober 2012 - 18:23 Uhr
Urlaub in Hooksiel

Wie jedes Jahr habe ich 14 Tage Urlaub mit meinen Hunden in Hooksiel verbracht
eine Woche hatte ich Besuch von Petra mit Ihren 3 Zwergschnauzern, alle haben sich toll verstanden und wir hatten eine schöne Zeit bei wirklich gutem Wetter
Wir haben viel gelacht
Samstag, 4. August 2012 - 20:13 Uhr
Internationale CACIB Schau Bremen Bill V1/CAC/CACIB, Kenia V1/CAC

Foto Bill (Incredible Imp Nuo Bjaurybes)
Danke Verena für Dein wie immer tolles Handling von Bill
das Dreamteam
Mittwoch, 1. August 2012 - 12:56 Uhr
Bill hatte Damenbesuch
Am Wochenende hat ArtLöhrs Vivita Vip Primera Bill besucht, beide haben sich sofort verliebt
Ich wünsch Inge und Walter Löhr einen tollen Wurf
Mittwoch, 25. Juli 2012 - 19:49 Uhr
Phiby von Silverstone mit 14 Wochen

Vater Bill Incredible Imp Nuo Bjaurybes
Mutter Lucy Gloris White and Black
Phiby lebt im Zwinger vom Zwergenparadies
Freitag, 20. Juli 2012 - 10:13 Uhr
Max Junior hat die Zuchtzulassung bestanden!!!!!!!!!!!!!!!

Max hat letztes Wochenende mit Romina die Zuchtzulassung bestanden, an dieser Stelle herzlichen Glückwunsch Euch beiden
.
Max steht ab sofort für geeignete Hündinnen zum decken bereit
Vater: Ch Chelines Max Facttor
Mutter: Multi Champion Gloris White and Black
Dienstag, 19. Juni 2012 - 22:07 Uhr
Okira (Kira) ein kleines Video im neuen Zuhause in der Nachbarschaft :-) 1 Bruder (Otto) sucht noch ein neues Zuhause

Kira das kleine Monster ohne Angst, das Video ist sooo süß
einfach auf die Schrift klicken
Freitag, 15. Juni 2012 - 11:26 Uhr
Gina von Silverstone beim Frühstück
